Clínica dental Silva Cideo, expertos en tratamientos de estética dental
Clínica especialista en estética dental
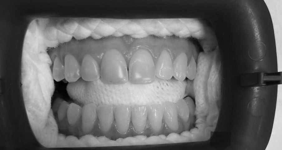
¿Quieres lucir unos dientes blancos y relucientes? Entonces ponte en buenas manos y deja que te ayudemos. En Clínica dental Silva Cideo ofrecemos soluciones de primer nivel gracias a nuestro equipo especializado en las carillas dentales en León. Además, estos servicios cuentan con unos precios ajustados a todos los bolsillos.
Trabajamos con muchas soluciones dentro de la estética dental. Para ello, usamos instrumental de primera calidad y todo queda supervisado por dentistas profesionales y con mucha experiencia. Destacamos esta especialidad de la odontología porque podemos mejorar los dientes de las personas y conseguir que sus bocas tengan una mejor apariencia física y salud bucal.



Tratamientos de estética dental
Cumplimos tus objetivos en materia de estética dental con tratamientos personalizados y soluciones adaptadas a cada paciente. Para ello, estudiamos las facciones, las medidas y las proporciones para tener más información con el que diseñar la sonrisa perfecta, teniendo en cuenta la posición, el color, la forma y el tamaño de las piezas dentales. Igualmente, resaltamos dos tratamientos en esta rama odontológica:
- Carillas dentales: hablamos de unas láminas finas elaboradas con composite o con porcelana que corrigen los problemas bucales sin tener que recurrir a otros tratamientos más largos como los de ortodoncia. Dicha solución corrige los problemas de la dentadura, las fracturas o las decoloraciones dentales.
- Blanqueamiento dental nos encargamos de eliminar las manchas dentales y conseguimos que la dentición tenga una tonalidad mucho más blanca y brillante. Además, la popularidad de la estética dental ha llevado a que muchas personas opten por este tratamiento, sobre todo si son fumadores o llevan mucho tiempo sin ir al dentista. Igualmente, los resultados se ven de una manera muy rápida.
